top of page


Steven J Trzepacz, OD
223 E Main St Streator, IL 61365 815-673-1591
Optical Coherence Tomography
Optical Coherence Tomography
This advanced medical device uses a laser scanner to measure different views of ocular tissue. A retinal scan can give a microscopic representation of the retina and macula. An optic nerve head scan can measure the optic nerve tissue integrity. The anterior segment scan can draw the internal shape of the cornea and iris.
Click on images to enlarge
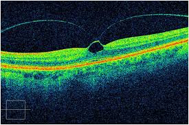
Retinal Scans
Normal


Macular Degen


Epiretinal Membrane / Macular Pucker



Macular Hole

Anterior Segment Scans
Normal

Narrow Angle


Optic Nerve Head Scans
Normal

Glaucoma Suspect

Glaucoma

bottom of page

